
Early Implant Placement in a Maxillary Lateral Incisor Site - Clinical Case Report - Home
Clinical Case Report
Early Implant Placement in a Maxillary Lateral Incisor Site
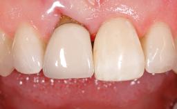
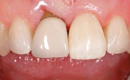
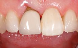
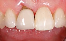
In the fall of 2003, a female patient was referred to the School of Dental Medicine, University of Geneva, for treatment of a traumatic fracture of a maxillary left lateral incisor. While at home, the patient fell down and hit a heating radiator with the anterior maxilla. During the initial examination, a week after the accident, the patient was in good general health condition and signs of pain/discomfort or clinical/radiographic infection were not observed. A moderate and localized hematoma with associated swelling persisted on the left side of the upper lip. Clinical assessment revealed a horizontal fracture at the cervical third of the anatomic crown of the maxillary left lateral incisor. In addition, a vertical crack line projecting into the cementoenamel junction (CEJ) called for a comprehensive assessment of the tooth restorability options.

- Surgical SAC classification
- Advanced
- Prosthodontic SAC classification
- Advanced
- Source
- Treatment Guide 3
- Purchase price
- 10 Academy Coins
- CPD/CME
- 0.25 hours
Share this page
Download the QR code with a link to this page and use it in your presentations or share it on social media.
Download QR code