Case

0.0The average rating is 0 stars out of 5.

Early Implant Placement, Contour Augmentation, and Autologous Connective-Tissue Graft Using a Tunneling Technique to Replace an Upper Incisor with Generalized Gingival Recession

Eduardo R Lorenzana, Jason R Gillespie

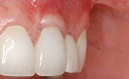
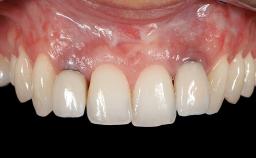
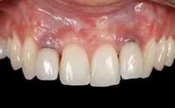
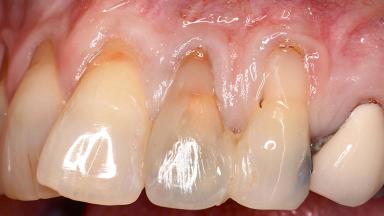
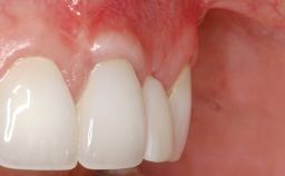
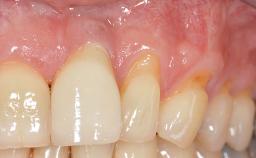
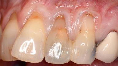
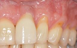
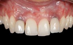
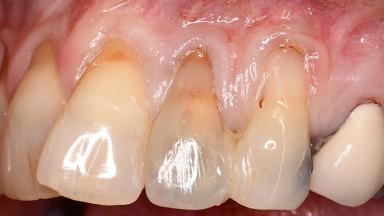
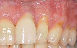
Variations in soft-tissue volume, evidenced either by an overabundance (Evian and coworkers 1993; Levine and McGuire1997; Dolt and Robbins 1997) or by a deficiency of soft or hard tissue can complicate implant-supported rehabilitations in the esthetic zone (Lorenzana 2008; Lorenzana and coworkers 2009). The present case illustrates the replacement of a failing upper left lateral incisor complicated by generalized severe gingival recession in the esthetic zone.

Surgical SAC classification
Complex
Prosthodontic SAC classification
Complex
Source
Treatment Guide 12
Purchase price
10 Academy Coins
CPD/CME
0.25 hours

General information

Case Type
Jaw Maxilla
Area Anterior
# of Teeth 1
# of Implants 1
Type of Implants Reduced-Diameter|Two-Piece
Attachment Reduced-Diameter|Two-Piece
Bone Augmentation Horizontal|Simultaneous
Augmentation Materials Autogenous chips|Xenogenous|Membrane
Guided Surgery No
Soft Tissue Grafting Simultaneous
Abutment Type CAD/CAM
Prosthesis Type FDP

Esthetic Risk Assessment

Esthetic Risk Factors Low Medium High
Medical Status Healthy Compromised
Smoking Habit Non-smoker Light smoker (< 10 cigarettes per day) Heavy smoker (>= 10 cigarettes per day)
Patient's Esthetic Expectations Low Medium High
Lip Line No exposure of papillae Exposure of papillae Full exposure of mucosa margin
Periodontal Phenotype Low-scalloped, thick Medium-scalloped, medium-thick High-scalloped, thin
Shape of Tooth Crowns Rectangular Triangular
Infection at Implant Site None Chronic Acute
Bone Level at Adjacent Teeth <= 5 mm to contact point 5.5 to 6.5 mm to contact point > 7 mm to contact point
Prosthodontic Status of Neighboring Teeth Virgin Restored
Width of Edentulous Span 1 tooth (>= 7 mm) 1 tooth (< 7 mm) 2 teeth or more
Soft Tissue Anatomy Intact Defective
Bone Volume Horizontally and vertically sufficient Horizontally deficient Deficient vertically or deficient vertically AND horizontally
  • * General SAC assessment modifiers that are also part of the ERA. To avoid redundancy they are listed in this section even if no complete ERA has been made.

  • ** Not applicable to the ERA of immediate placement cases and replaced by "Socket Integrity" listed below under "Surgical SAC Classification". For all other placement types this value is a classification determinant and listed here even if no complete ERA has been made.

Surgical SAC classification

SAC Level Complex
Defining Characteristics One missing tooth to be replaced by an implant-borne prosthesis
Modality Modality
Placement Protocol Early or late implant placement
Tooth Site Tooth site
Socket Morphology Socket morphology
Socket Integrity Socket integrity
Bone Volume Deficient vertically or deficient vertically AND horizontally
Anatomic Risk High
Esthetic Risk High
Complexity High
Risk of Complications High

Prosthodontic SAC classification

SAC Level Complex
Defining Characteristics One missing tooth to be replaced by an implant-borne crown
Loading Protocol Conventional or early
Retention -
Maxillomandibular Relationship -
Mesio-Distal Space -
Inter-Arch Distance -
Bruxism -
Esthetic Risk High
Provisional Implant-Supported Prosthesis -
Interim Prosthesis during Healing -
Occlusion/Articulation -
Occlusal Scheme/Issues -

Surgical SAC Modifiers

Periodontal Status Healthy

Prosthodontic SAC Modifiers

Soft Tissue Contour and Volume Significantly deficient

General SAC Modifiers

Oral Hygiene and Compliance Good
Access Adequate
Craniofacial/Skeletal Growth Completed
Publication date: Jan 30, 2023 Last review date: Jan 23, 2023 Next review date: Jan 23, 2026

ITI QR code Mvc

Share this page

Download the QR code with a link to this page and use it in your presentations or share it on social media.

Download QR code
QR code