
Connective-Tissue Graft to Augment the Buccal Tissue for a Bone-Level Implant at an Upper Incisor Site - Clinical Case Report - Home
Clinical Case Report
Connective-Tissue Graft to Augment the Buccal Tissue for a Bone-Level Implant at an Upper Incisor Site
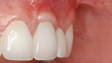
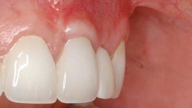
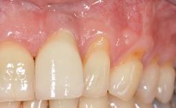
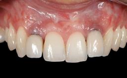
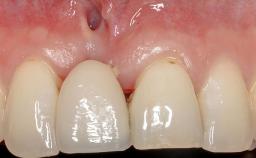
Deficiencies in soft-tissue position and volume can negatively impact the emergence profile and contour of the final implant-supported restoration. This is a clinical case from Eduardo Lorenzana and Kurt Riewe that demonstrates the application of a connective tissue graft to augment the buccal soft tissue profile on a bone-level implant in the esthetic zone.

- Surgical SAC classification
- Advanced
- Prosthodontic SAC classification
- Complex
- Source
- Treatment Guide 12
- Purchase price
- 10 Academy Coins
- CPD/CME
- 0.25 hours
Share this page
Download the QR code with a link to this page and use it in your presentations or share it on social media.
Download QR code