
Bilateral SFE in the Edentulous Maxilla with DBBM using a Staged Approach - Clinical Case Report - Home
Clinical Case Report
Bilateral SFE in the Edentulous Maxilla with DBBM using a Staged Approach
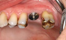
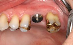
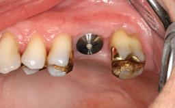
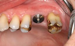
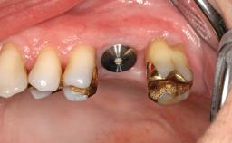
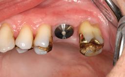
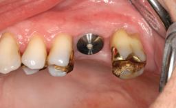
A healthy 56-year-old woman was referred to our Department of Oral Implantology for complete rehabilitation of both jaws. She was a non-smoker and requested being treated with fixed restorations. The patient was dissatisfied with her appearance, particularly with the excessive length of her mandibular dentition. Her dental history was extensive. Over the previous 20 years, she had undergone periodontal and orthodontic treatment but also orthognathic surgery to advance the mandible. Clinical examination revealed good oral hygiene. The patient wore a maxillary denture, and the roots of teeth 13 and 23 were endodontically treated. Panoramic radiographs were obtained, indicating pneumatization of the sinuses and an inadequate vertical dimension of the alveolar process distal to both maxillary canines.

- Surgical SAC classification
- Complex
- Prosthodontic SAC classification
- Complex
- Source
- Treatment Guide 5
- Purchase price
- 10 Academy Coins
- CPD/CME
- 0.25 hours
Share this page
Download the QR code with a link to this page and use it in your presentations or share it on social media.
Download QR code