
Autologous Block Graft and Guided Bone Regeneration (GBR) for Horizontal Ridge Augmentation in the Posterior Mandible - Clinical Case Report - Home
Clinical Case Report
Autologous Block Graft and Guided Bone Regeneration (GBR) for Horizontal Ridge Augmentation in the Posterior Mandible
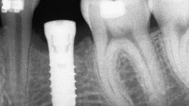
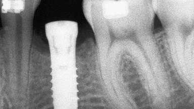
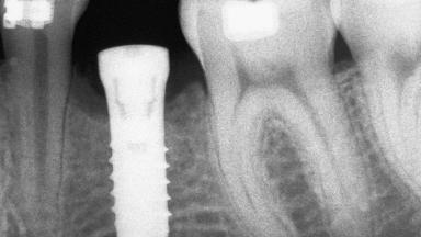
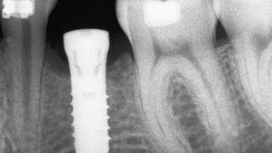
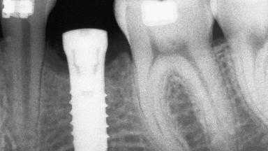
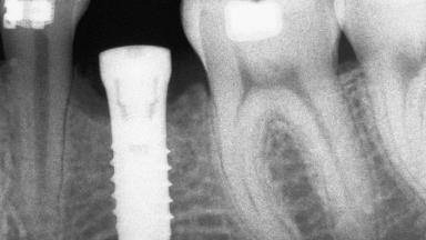
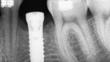
An 18-year-old man was referred for implant therapy in the posterior mandible to the Department of Oral Surgery and Stomatology (University of Bern, Switzerland). He was healthy and did not smoke. Tooth 35 was congenitally missing, involving a single-tooth edentulous space that offered an adequate mesiodistal dimension for implant placement but exhibited a typical pattern of buccal flattening. A panoramic radiograph was obtained, which revealed a sufficient vertical bone height above the mandibular canal and a normal bone structure in the edentulous area.

- Surgical SAC classification
- Complex
- Prosthodontic SAC classification
- Straightforward
- Source
- Treatment Guide 7
- Purchase price
- 10 Academy Coins
- CPD/CME
- 0.25 hours
Share this page
Download the QR code with a link to this page and use it in your presentations or share it on social media.
Download QR code