Question
1
of
20
Multiple Choice
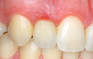
Kaybedilmiş olan üst sağ yan keser diş yerine yerleştirilmiş olan implant destekli kuron ile bağlantılı olarak gelişmiş olan fistül yolu mukoza altına kaçırılmış olan siman ile ilişkilidir. Bu estetik komplikasyonun tedavisindeki aciliyet durumu nedir?
Select the correct answer.
düşük öncelik - zaman uygun olduğunda tedaviye başlanması
orta öncelik - birkaç hafta içinde tedavi edilmesi
yüksek öncelik - birkaç gün içinde tedavi edilmesi
Submit